Reducing recurrent low back pain

Two recent studies published by the medical profession show the benefit on chiropractic care for long term back health. Both studies talk about the value of what is called maintenance care provided by chiropractors. The first paper comes from the Rheumatology and Rehabilitation department in the faculty of medicine at the University of Mansoura and was published in the journal 'Spine'. Their findings across 60 patients with non-specific chronic low back pain showed the greatest improvement when they were adjusted regularly (12 times) in the first month and then following a maintenance schedule (2 times per month) for the following 9 [...]

By |2017-02-23T21:31:06+00:00February 23, 2017|Downtown Toronto Chiropractor Blog|0 Comments

Healing Through Custom Orthotics – Part 1

Introduction Every day I treat people suffering with back pain. My patients often attribute this pain to a wide range of factors, but one that is both common and commonly overlooked are the feet and how they impact on how you feel in other parts of your body. This will be a two part-post.  The fist part will take a look at foot behaviours and how they can lead to pain in particular areas of the body.  The second part will focus on current research on custom orthotics and how they can help deal with pain, but also to prevent pain [...]

By |2017-02-23T18:07:25+00:00February 23, 2017|Downtown Toronto Chiropractor Blog|0 Comments

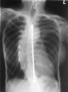
Scoliosis: Does it cause pain

Scoliosis is a common condition of the spine and I see it frequently in my practice. It is characterized by a curvature in the spine, usually from side to side. Although it is a complex three-dimensional deformity, on an X-ray, viewed from the rear, the spine of an individual with scoliosis may look more like an “S” or a “C” than a straight line. The amount of curvature can range from a barely noticable few degrees to nearly >70-80 degrees. Scoliosis is most often idiopathic (i.e. no-one knows what really causes it), but there are other types as well, that are [...]

By |2017-03-02T15:59:40+00:00August 4, 2016|Downtown Toronto Chiropractor Blog|0 Comments

Headaches

Headache Treatment in Downtown Toronto We provide headache treatment in downtown Toronto.  Headaches are very common - some research suggests 96% of people experience them in their lifetime. Headaches can be caused by numerous things. With that being said, there are two main categories of headaches to consider. One is called the primary headaches and the other is called secondary headaches. Primary Headaches Primary headaches are divided into 3 major types. Migraines, tension-type headache, and cluster headache. These usually have no major or serious underlying cause - although they can be quite debilitating. They also have very different characteristics. These headaches [...]

By |2022-03-10T15:31:44+00:00July 2, 2016|Downtown Toronto Chiropractor Blog|0 Comments

Plantar Fascitis

Plantar fascitis is a common condition that causes pain on the bottom of the foot. The plantar fascia is a fibrous band that extends from the heel of the foot to the toes and is responsible for supporting the arch of the foot. The most common symptom is pain in the foot, usually at the inside border of the heel, and is felt usually in the morning as the first steps are taken to get out out bed. The condition usually improves with rest. However, excessive tension on the plantar fascia can lead to chronic irritation, and eventually traction (heel) spurs [...]

By |2017-02-23T21:43:48+00:00June 6, 2016|Downtown Toronto Chiropractor Blog|0 Comments
Go to Top